2005г. — «Повседневная, клиническая эндодонтия и новые возможности», А.М.Соловьева, г. Волгоград;
2008г. — «Применение ручных и машинных протейперов для прохождения корневых каналов», Е.А. Новикова, г. Волгоград;
2009г. — «Эстетика: впечатление или математика», С.В. Радлинский, г. Волгоград;
2010г. — «Применение современных никельтитановых интсрументов» Protaper Universal, г. Москва, Dentsply;
2010г. — «Последние достижения в эндодонтии и эстетической стоматологии», г. Москва;
2013г. — «Перелечивание (ортоградная ревизия), М.П. Певзнер», г. Москва;
2013г. — «Повторное эндодонтическое лечение как проблема современной стоматологии», А.В. Шумский, г. Москва;
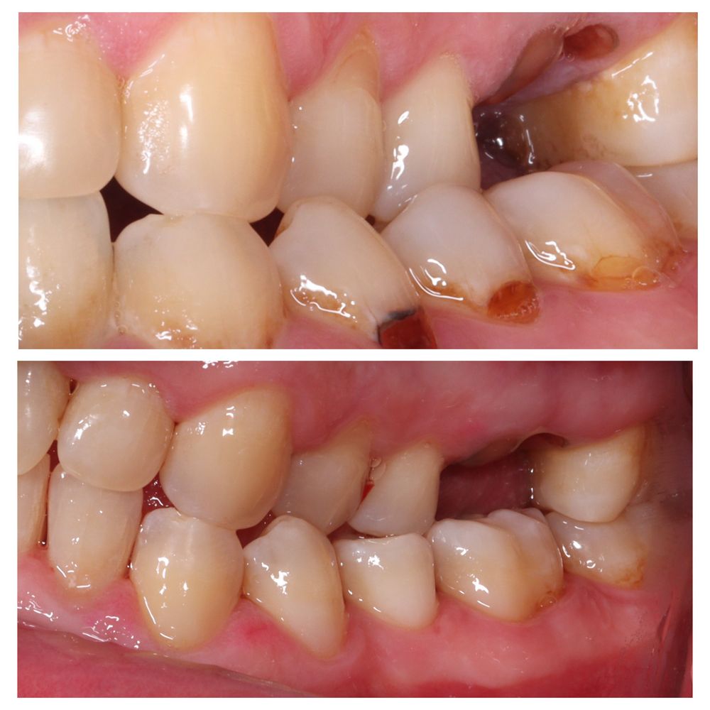
2013г. — «Актуальные аспекты герметичной обтурации корневых каналов и постэндодонтической реставрации», Т.А. Шпак, г. Москва;
2014г. — «Обтурация корневых каналов, метод «непрервыной волны», М.А. Смирнова, г. Москва;
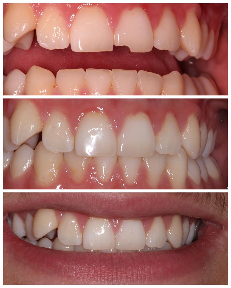
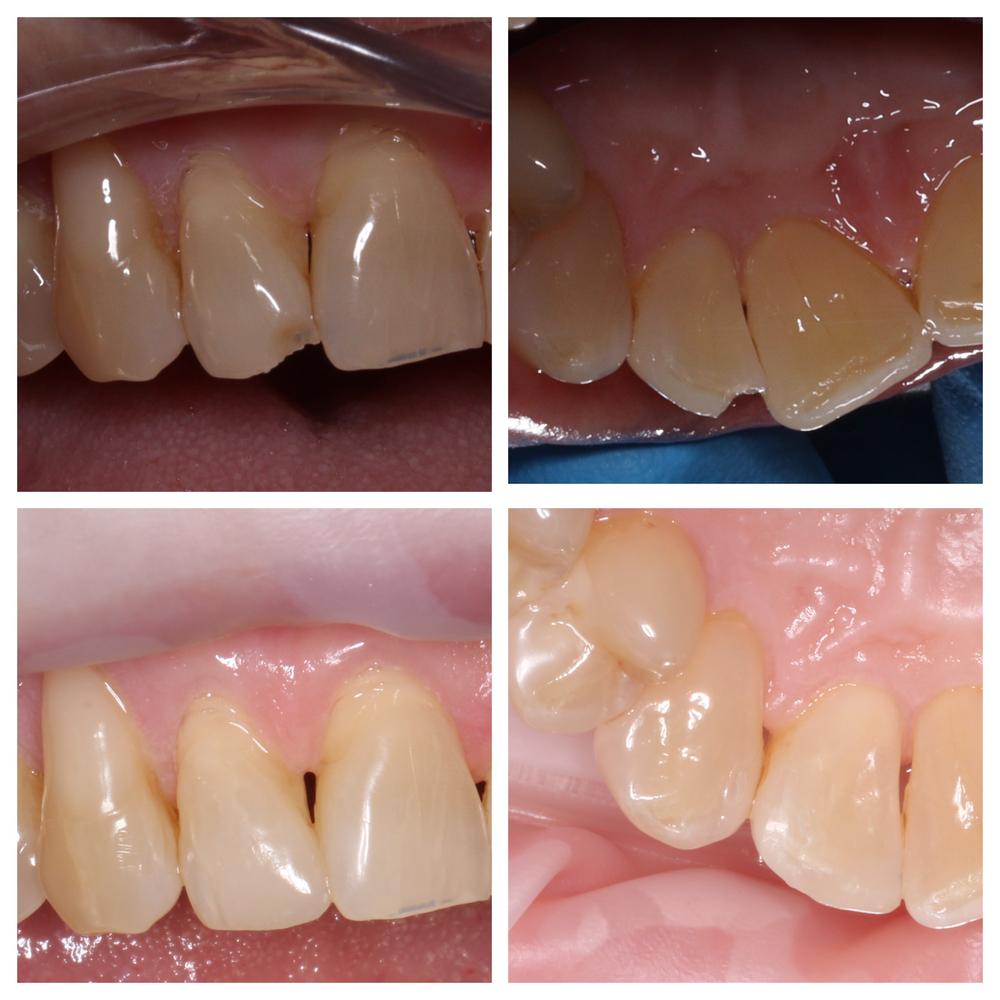
2014г. — «Реставрация сквозных дефектов фронтальных зубов. Восстановление контактных поверхностей в полостях III и IV класса Блэка», Е.Ю. Мендоса, г. Москва;
2015г. — «Восстановление анатомической формы зубов в эстетических реставрациях», А.В. Ветчинкин, г. Москва;
2016г. — «Ошибки и осложнения эндодонтического лечения. Профилактика и исправления», А.В. Зорян, г. Москва;
2018г. — Международный эндодонтический конгресс Михаиа Соломонова Pro-Endo, г. Москва;
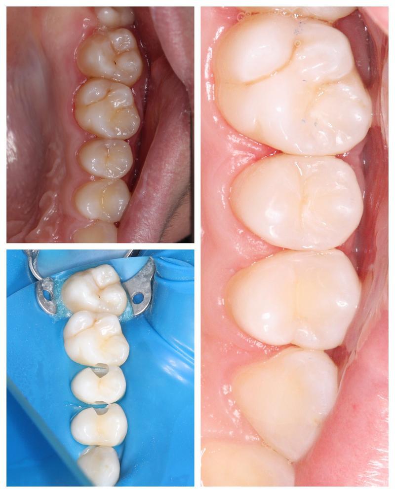
2018г. — «Керамические вкладки. Принципы препарирования», М.И. Бойков, г. Москва;
2019г. — Вебинар «Орто-эндо взаимоотношения», лекторы М.Соломонов,Е. Шапинко;
2019г. — Вебинар «МВ2 в жизни эндодонтиста», лектор М.Соломонов;
2019г. — Курс «Всё о резорбциях и эндо-перио поражениях», Михаила Соломонова, г.Москва;
2020г. — Боль в эндодонтии;
2020г. — Сломанные инструменты;
2021г. — Облитерированные каналы.Наука и практика;
2022г. — Новейший подход в ирригации;
2022г. — Конгресс прямой реставрации;
2023г. — Практический курс «DIRECT ANTERIOR» по реставрации фронтальных зубов, Роман Карпенко.
2025г. — АКАДЕМИЯПРОТЕКО, «Закрытие трем/диастем в методике Easy Flow»
2025г. — «Мир микроскопной стоматологии. Погружение в новую реальность». Stom-e